Beginne jeden Tag mit einem Lächeln.
Beyond Bleaching
Bester Preis in der Luzern für professionelle Zahnaufhellung!
Beyond Polus Ultra, der mehrfache Testsieger im Bereich in-Office Bleaching
Polus Advanced Ultra
Entworfen von den mittlerweile zehnfachen „Dental-Advisor“ Gewinnern (The Dental Advisor 2011-2020) für professionelles Zahnbleaching ist der neue Polus Ultra weiterhin das marktführende System, welches die Bedürfnisse der heutigen Zahnpatienten während eines professionellen Zahnaufhellungsverfahren bestmöglich erfüllt. Für weiße Zähne in nur 30 Minuten.
Besonderheiten:
- effizientestes Bleachingsystem am Markt
- innovative Lightbridge Technologie
- einfache Bedienung
- kein Code zum Start notwendig
ZAHN BLEICHEN KOSTEN
Bester Preis in der Luzern für professionelle Zahnaufhellung!
Power-Bleaching
CHF 500
CHF 350
- Die häufigste Wahl der Kunden
- Sofortiges Ergebnis
- Dauerhafte Wirkung
- Bis zu 2 Stunden. Beste Erfahrung, beste Zufriedenheit.
- Erschwinglicher Preis
- Erfahrene und professionelle Zahnärzte
- Kostenlose Erstberatung
Warum mit BEYOND bleichen?
Bei BEYOND stehen zwei Aspekte der professionellen Zahnaufhellung im Vordergrund:
maximale Aufhellungsergebnisse und das Wohlbefinden der Patienten.
Mit BEYOND können trotz sehr kurzen Behandlungszeiten, maximale Ergebnisse und langfristige Resultate erreicht werden. Wir vergleichen uns nicht mit dem Mitbewerb, da jeder Anbieter „die besten“ Ergebnisse verspricht, neben diesen stehen wir jedoch für das angenehmste und schonendste Zahnbleaching, ohne Empfindlichkeiten oder Schmerzen.

Kurze Behandlungszeiten
Mit BEYOND können die Zeiten einer Aufhellungsbehandlung je nach Bedürfnis auf die individuellen Wünsche der Patienten angepasst werden. Prinzipiell empfehlen wir jedoch mindestens drei Zyklen zu je 10 Minuten für „weiße Zähne in 30 Minuten“.

Innovativ & leistungsstark
Die neue „LightBridge“ Technologie des Polus Ultra ermöglicht durch eine innovative Lichtfilterung alle schädlichen Strahlen während einer Behandlung zu entfernen. Aufgrund patentierter Lösungen kann BEYOND als einziges Unternehmen mit sowohl 35% als auch 6% Wasserstoffperoxid bleichen.

Langfristige Ergebnisse
Grundsätzlich können die Resultate eines professionellen Zahnbleachings mit BEYOND circa 2 Jahre lang erhalten werden. Mit der regelmäßigen Nutzung unserer „PearlWhite“ Zahnpasta kann dieses Ergebnis jedoch gestärkt und verlängert werden.

Top Preis/Leistung
BEYOND bietet sowohl Zahnärzten als auch Endkunden und Privatanwendern die Möglichkeit Produkte für die Zahnaufhellung zu fairen Preisen zu erwerben. Wir wollen jedem die Chance ermöglichen ein strahlendes, selbstbewusstes Lächeln zu erhalten!

Schonend zum Zahnschmelz
Bei professionellen Aufhellungsverfahren wird ein Gel auf die Zähne aufgetragen, dessen Wirkstoff in den Zahnschmelz eindringt und dort die Verfärbungen entfärbt. Unsere Bleachingprodukte wurden sorgfältig entwickelt, sodass sie hochwirksam und zugleich möglichst schonend aufhellen.

Keine Empfindlichkeiten
Beim Bleaching mit BEYOND wird eine Kaltlichtlampe verwendet, welche die Zähne ohne UV aufhellt, daher kommt es auch zu keinen Empfindlichkeiten, keiner unangenehmen Hitze, keinen Rötungen im Gesicht und zu wenig bis keinen Schmerzen.
Gemeinsam mit BEYOND zu strahlend weißen Zähnen
Wir von Beyond wollen jedem die Möglichkeit bieten ein weißes selbstbewusstes Lächeln zu erhalten oder wiederzuerlangen. Seit bereits mehr als 15 Jahren wird dieses Ziel verfolgt, folgende Zahlen spiegeln den Werdegang seither wider.
3 650 +
Zufriedene Patienten in der ganzen Schweiz
12
Auszeichnungen
4
Freundliches mehrsprachiges
Team
Wie funktioniert ein Bleaching mit Beyond?
1
Zahnfleisch abdecken
Vor jeder Behandlung mit Wasserstoffperoxid sollte der BlueSeal Zahnfleischverband aufgetragen werden, um das Zahnfleisch während jeder Behandlung zu schützen. Sobald dieser ausgehärtet ist kann sichergestellt werden, dass das Zahnfleisch unversehrt bleibt.
2
Bleachinggel auftragen
Anschließend kann das Max 5 Solution Bleachinggel sorgfältig auf die zu bleichenden Zähne aufgetragen werden. Dabei ist zu beachten, dass nicht zu wenig Gel auf die Zähne gegeben wird, um ein optimales Aufhellungsergebnis zu gewährleisten.
3
Zähne mit der Lampe beleuchten
Abschließend muss der Lampenkopf zu den Zähnen ausgerichtet werden und ein Zyklus kann gestartet werden. Nach Beendigung der Zeit wird das Gel abgesaugt und frisches wird erneut aufgetragen. Diese Vorgehensweise wiederholt sich je nach Belieben bis zum Abschluss der Behandlung.
Noch unsicher? Hier geht’s zur Videoanleitung
Weitere Beyond Bleachingsysteme mit Lichtaktivierung
Beyond II Ultra
Home-Bleaching
Der BEYOND® II verfügt über die Möglichkeit der zusätzlichen Sekundärlichteinheit, welche die Behandlung von zwei Patienten gleichzeitig ermöglicht. 10 hochintensive blaue LEDs liefern einen maßgeschneiderten Lichtstrahl zwischen 480-520 Nanometern. Diese Innovation kombiniert mit Ultraschalltechnologie trägt dazu bei, in kurzer Behandlungszeit hervorragende Aufhellungsergebnisse zu erzielen.
Gemini Home-Bleaching ist einfach zu benutzen und kann mit jedem Smartphone verwendet werden. Die sanfte 6%ige Wasserstoffperoxid-Formel ist die perfekte Lösung für das Bleichen der Zähnen von Zuhause aus. Mit über 20 Jahren Erfahrung hat BEYOND® ein fortschrittliches System entwickelt, welches für Sie konzipiert und für Ihr Lächeln in Ihrem Zuhause definiert wurde. Für weiße Zähne in weniger als 1 Stunde.
Zufriedene Kunden
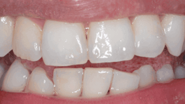
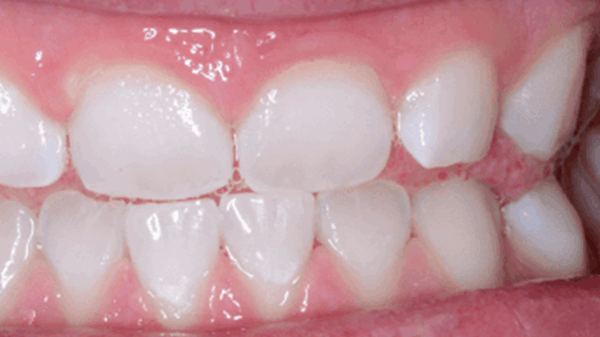
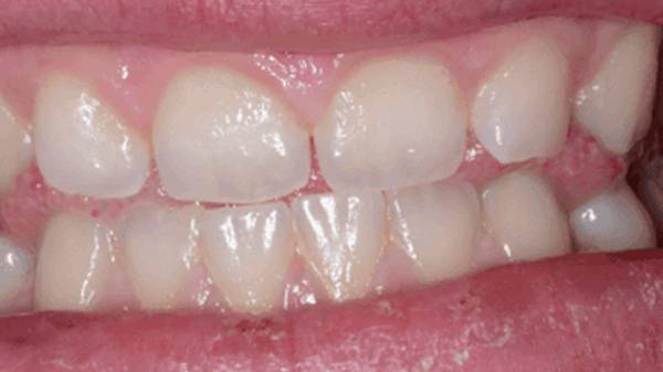
Zähne bleichen: Ergebnisse unserer Patienten
Voher:
Nacher:
Voher:
Nacher:
Voher:
Nacher:
Voher:
Nacher:
Voher:
Nacher:
Vereinbaren Sie einen Termin
ZAHN BLEICHEN KOSTEN
Power-Bleaching
CHF 500 CHF 350
- Die häufigste Wahl der Kunden
- Sofortiges Ergebnis
- Dauerhafte Wirkung
- Bis zu 2 Stunden. Beste Erfahrung, beste Zufriedenheit.
- Erschwinglicher Preis
- Erfahrene und professionelle Zahnärzte
- Kostenlose Erstberatung
Hinterlassen Sie uns Ihre Kontaktdaten und wir werden uns so schnell wie möglich bei Ihnen melden.
Vereinbaren Sie einen Termin
Hinterlassen Sie uns Ihre Kontaktdaten und wir werden uns so schnell wie möglich bei Ihnen melden.
